Inicio

Fin

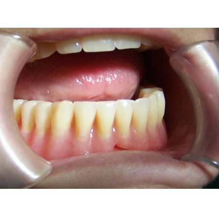
Nº 2 ESTABILIZACIÓN DE PROTESIS COMLPETA CON MINIMPLANTES

Paciente mujer de 60 años con una dentadura completa a la que no se adapta por su movilidad, la colocación de dos minimplates y la adaptación de su misma prótesis soluciona el problema de forma definitiva a un costo razonable.