Inicio

Fin

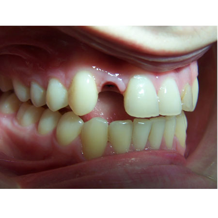
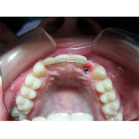
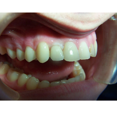
Nº 4 IMPLANTE UNITARIO

Implante en un incisivo lateral, caso de agnesia en un varón joven.