Inicio

Evolucion

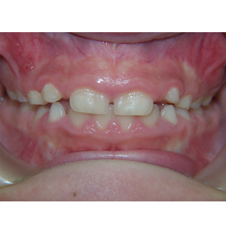
MORDIDA CRUZADA ANTERIOR TRATAMIENTO ORTOPEDICO