Inicio

FIN

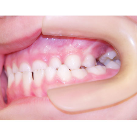
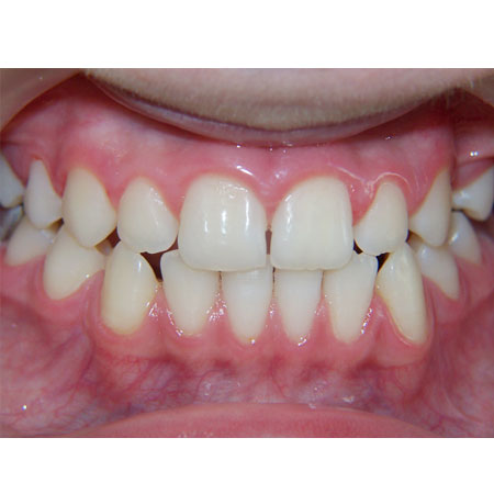
MORDIDA CRUZADA ANTERIOR