Inicio

Fin

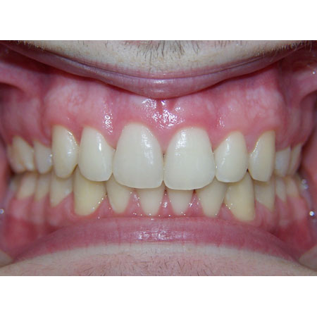
CON SOBREMORDIDA